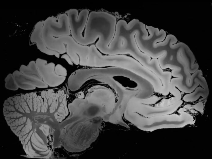
Получить трехмерное изображение человеческого мозга высокого разрешения удалось исследователям MGH в Бостоне с помощью метода магнитно-резонансной томографии. Высокое качество модели удалось получить за счет длительного пребывания мозга в сканирующем МРТ аппарате 7 Tesla.
Экспериментальное время пребывания — 100 часов. Хоть этот способ в отличии от рентгеновского безопасен для организма, однако такое длительное неподвижное время пребывания для живого человека является физически попросту неприемлемым. Поэтому для эксперимента был задействован уже неживой мозг женщины, умершей от последствий вирусной пневмонии.

За счет чего была достигнута высокая детализация снимка
Здесь стоит отметить, что даже не способность выдержать столь длительное время эксперимента живого человека сыграла ключевую роль в получении высокой четкости 3D модели мозга, а отсутсвие как таковых активных процессов в умершем головном мозге наряду с дыханием и непроизводльным тремором шейных мышц.
Прямую аналогию можно провести в сравнении с оптической физикой при фотографировании объектов с большой выдержкой. Если объект будет при этом подвижен, то на выходе будет размытое его фото. Необходимо обеспечить при этом его максимальное статичное положение.
И даже несмотря на то, что исследуемый мозг был уже мертв, в нем продолжался процесс выхода микропузырьков воздуха, что также припятствовало получению четкого изображения. Во избежания данного эффекта пришлось исследователям разработать специальный уретановый колпак, который обеспечивал герметичность не давая выйти воздушным пузырькам с мозговых клеток наружу.
Детализация, которая была получена в ходе эксперимента, позволила рассмотреть ткани мозга размером менее чем 0,1 миллиметра. В качестве магнитно-резонансного томографа был задействован 7 Tesla, который является сегодня одним из самых прогрессивным.



Насколько я понимаю качество съемок мозга было получено за счет того, что в мертвом мозге отсутсвует микровибрации от пульсации кровяного потока, проходящего через сосуды головного мозга. Пульсовая волна крови в артериях создает движение, которые не дает должным образом сфокусироваться и получить качественный снимок. А что в случае с искусственным кровообращением, ведь насколько я помню так нет пульсовой волны. Там аппарат искусственного кровообращения создает равномерный поток движения крови по артериям без пульсовой волны. Интересно, это помогло бы снизить возникающие вибрации, вызванные пульсовой волной?
Да, может отсутсвие пульсовой волны крови при искусственном кровообращении и снижает вибрации и движения микрососудов головного мозга но никак не убирает их совсем. При любое движение жидкости по сосудам возникает трение, что само по себе вызывает микроколебания самих стенок и близрасположенных клеток. А по мертвым клеткам уже кровь не течет, движения нет, соответственно микровибраций также нет.